Common Treatments


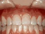
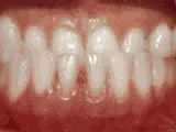
Crowding of the teeth

Before

Patient started treatment at age 11 and wore braces for 26 months. He loves his new smile.


Open bite - Front teeth don't touch

Before

After

Patient sucked her thumb as a young child. She started treatment at age 13. She had braces and a special appliance — called a crib — to retrain the tongue, for 28 months. Now she can bite the lettuce out of a sandwich.


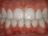
Deep overbite - Lower front teeth bite into palate

Before

After

This adult patient, age 25, required braces and jaw surgery to correct his severe overbite, with treatment taking two years. His problem could have been corrected without surgery if he had been treated before he was a teenager.


Missing lateral incisors

Before

After

This patient's lateral incisors were congenitally missing. She had braces for 20 months to move the teeth into their correct positions, then the missing teeth were replaced with bonded "Maryland" bridges.


Underbite - Lower front teeth in front of upper teeth

Before

After

Patient's underbite was causing her jaw joint discomfort and excessive wear patterns on her teeth. After about 30 months of treatment starting at age 32, she now finds smiling and chewing much easier.


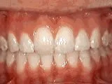
Spacing of teeth

Before

Patient was bothered by the spaces between his teeth. Braces closed the spaces and gave him an ideal bite in 24 months. Special glued-in retainers help keep the spaces closed.


Overjet - Protruding front teeth

Before

After

At age ten, patient had a big overjet with the top teeth protruding beyond the bottom. She had two phases of treatment. The first helped her jaws to grow more harmoniously and the second aligned her teeth and bite. At age 13, she was proudly displaying her new smile.


Non-braces treatment

Before

After

Sometimes braces are not needed to get noticeable improvements in tooth alignment. This patient was first seen at age seven for crowding of the lower permanent teeth. A procedure was performed to reduce the width of the adjacent baby teeth and the permanent incisors aligned on their own in nine months.


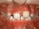
Phase-One

Before

After

Patient's parents were concerned about both aesthetics and the health of the erupting permanent teeth when they brought him to the orthodontist at age eight. The lower front teeth were crowded and touching the palate, and the upper front teeth were extremely displaced from their normal positions. After 12 months of Phase-One treatment with an expander and partial braces, patient's appearance and dental function were vastly improved.